INTERNACIONALES
Adolescente pierde parte del intestino tras ingerir unos 100 imanes
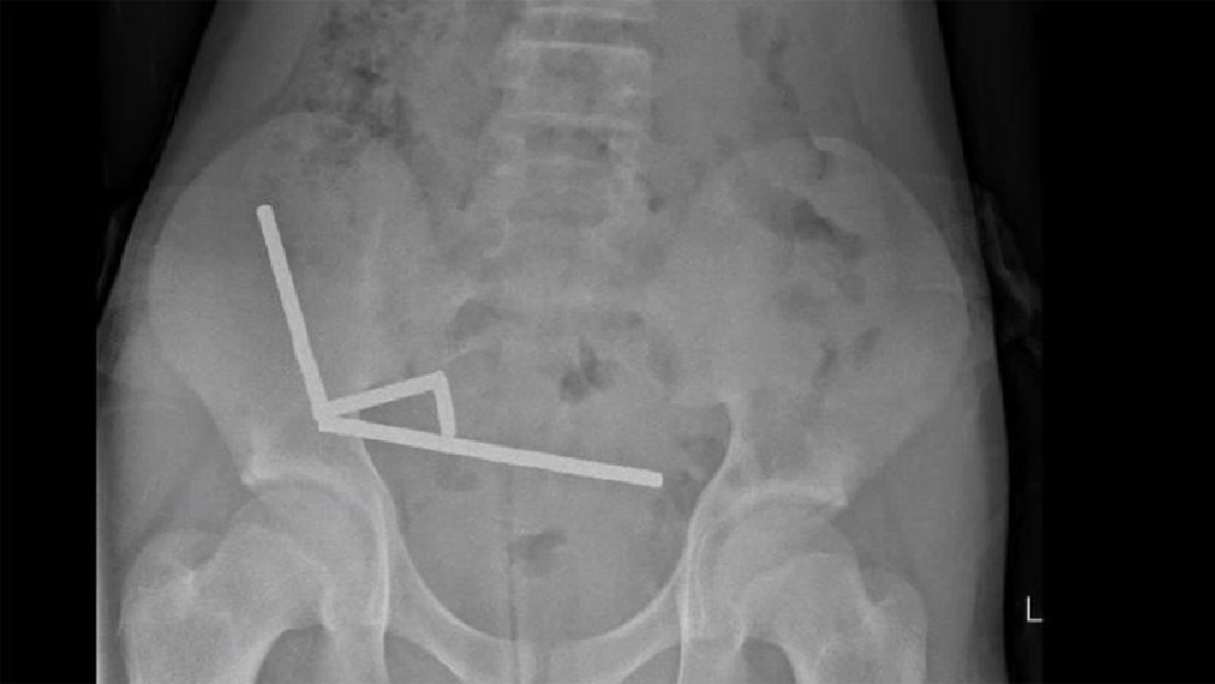
Cirujanos del Hospital de Tauranga (Nueva Zelanda) tuvieron que extirpar parte del intestino de un chico de 13 años después de que ingiriera entre 80 y 100 imanes pequeños, según un artículo publicado este viernes en The New Zealand Medical Journal.
El adolescente acudió al hospital con dolor abdominal y admitió haber ingerido una gran cantidad de imanes de neodimio aproximadamente una semana antes. Mediante una radiografía, los médicos visualizaron cuatro cadenas lineales en diferentes partes del intestino del paciente. Una vez dentro, los pequeños objetos metálicos se unieron de forma destructiva.
Durante la intervención quirúrgica, se encontraron las cadenas en secciones separadas del intestino delgado y el ciego. Al apretarse, causaban la muerte de varias áreas de tejido por falta de sangre, lo que se conoce como necrosis por presión.
Aunque los cirujanos se vieron obligados a extirparle parte del intestino, el adolescente se recuperó satisfactoriamente y fue dado de alta ocho días después. De momento, se desconoce el motivo por el que el joven se tragó los imanes.
Lee también: Trump sube aranceles a Canadá por un «acto hostil» con un anuncio de Reagan
«Como demuestra este caso práctico, ingerir pequeños imanes de alta potencia es potencialmente mortal», explicó Alex Sims, investigador de derecho mercantil de la Universidad de Auckland. «Desafortunadamente, suelen presentarse en forma de bolitas de colores brillantes, lo que las hace atractivas para que los niños las traguen», añadió.
Si bien existen leyes de seguridad de productos en el país oceánico que prohíben la venta de imanes de alta potencia, hay un gran desafío para aplicar estas leyes a los productos que se venden en cibermercados, señalan medios locales.
Fuente: RT
Sigue las noticias de Falcón, Venezuela y el Mundo en www.notifalcon.com síguenos en Instagram y X @notifalcon y en Facebook: https://www.facebook.com/diarionotifalcon2/
